インプラントを長く快適に使っていただくためには、歯肉(歯ぐき)や骨の健康を保つことがとても重要です。 私たち歯周病専門医は、まず"患者さんの歯を出来る限り残すこと"を大切にしています。どうしても歯を残せない場合にインプラントを選択しますが、そのときに大切なのは天然歯とインプラントが無理なく調和すること。 そのために欠かせないのが、周囲歯肉の正しいマネジメントです。
インプラントは天然の歯と違い、歯根膜がないため歯ぐきの炎症や骨の変化が起こりやすい特徴があります。ですので、患者さん一人ひとりの口の状態に合わせ、残っている歯とバランスがとれるように治療を進めていきます。
そのためには、治療前の診査・診断、歯周組織の改善、治療計画の立案など、細かなステップを丁寧に行う必要があります。インプラントの選択だけでなく、歯ぐきの厚みや形、骨の量などを見ながら細やかな調整を行っていきます。

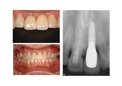
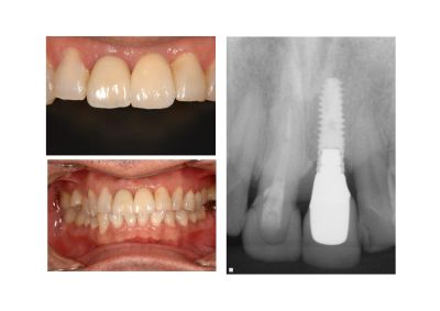
2012年5月25日には、西堀歯科医院 副院長の武内先生が、「どのようにすればインプラントと天然歯が調和し、長く安定した状態を保てるか」をテーマに、症例発表をしてくださいました。
私は毎週金曜日、American Board of Periodontology(米国歯周病専門医)の資格を持つ西堀雅一先生の院内勉強会に参加しています。
今回の症例では、重度の歯周病にかかった歯をできる限り保存し、矯正治療や歯周組織の再生治療を組み合わせながら、インプラントと天然歯が共存できる状態へ導いた流れを、非常に分かりやすく共有してくださいました。
また、歯周病をお持ちの方にインプラントを埋める際の注意点や、インプラント周囲炎を防ぐためのメインテナンスの重要性について、最新の論文を基に解説くださり、たいへん学びの多い時間となりました。
さっそく明日からの診療にも役立てていきたいと思える実践的な内容ばかりでした。
ちなみに武内先生は、2007年 日本歯周病学会50周年記念学術大会で専門医最優秀ポスター賞を受賞され、今秋にはロサンゼルスで開催される米国歯周病学会でも発表される予定です。
この勉強会から、また世界で活躍する先生が巣立っていくことを、とても誇らしく思っています。



