歯ぎしり(ブラキシズム)は「夜寝ているときだけ」と思われがちですが、実は日中の無意識な食いしばりも含まれます。 これらは"異常な機能的な力"とされ、歯や歯ぐき、筋肉にさまざまな負担をかけます。
歯ぎしりには大きく分けて2つのタイプがあります。
- ● 音を伴わない食いしばりタイプ
- ● 歯をこすり合わせるギリギリ音の出るタイプ
どちらのタイプも、放置すると歯の磨耗や破折、歯周組織の痛み、さらには歯の動揺につながる場合もあるため、 日常診療でも歯ぎしりの兆候には常に注意を払っています。
一部では「咬み合わせが悪いから歯ぎしりが起きる」という考えもありますが、 現在のところ科学的根拠は確立されていません。 そのため、私たちはバイトプレート(ナイトガード)による咬合力の回避が現実的で有効な方法と考えています。

毎週金曜日は、American Board of Periodontology の Member である 西堀 雅一 先生の院内勉強会に参加させていただいています。
Interdisciplinary Study Club Tokyo 西堀歯科勉強会

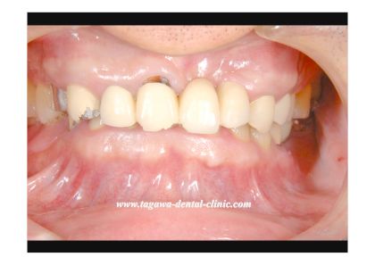
2012年9月14日は、さいたま市でご開業の なると歯科・小林成人 先生が、 歯ぎしりによって咬み合わせが低下した患者さんを治療する際のポイントを、実際の症例を交えて解説してくださいました。
歯ぎしりがある患者さんに現れやすい口腔内の兆候の見分け方、 咬み合わせを挙上する際の注意点、歯冠長延長術と歯根強度の関係など、 日常臨床で直面する難症例に役立つ知識を、科学的な文献と共にわかりやすく説明してくださいました。
また座長の西堀先生からは、安定した咬合を得るためのテクニックや、 インプラント埋入のタイミング、ミスが起こりやすい顎の部位など、 誰も教えてくれない重要なポイントも共有いただき、大変勉強になりました。
学んだ内容を、明日からの臨床に活かしていきたいと思います。



