自由が丘の歯医者ブログ
BLOG
自由が丘の歯周病専門医が行う歯周病治療2012.04.29
「歯周病専門医が行う歯周病治療を見せてください。」
と言うお問い合わせを多数頂きましたので、今回のブログは歯周病専門医の治療例をお見せします。
毎週金曜日は、American Board of PeriodontologyのMemberである西堀 雅一 先生の院内勉強会にお邪魔しております。
この勉強会では、会員が行った歯周病治療やインプラント治療についての治療経過を検討したり、歯周病治療やインプラント治療における治療方法のカンファレンスを行っています。
参加メンバーは、西堀歯科医局の先生方、米国歯周病学会の American Board of PeriodontologyのMemberの先生方や日本歯周病学会が認定する歯周病専門医の先生方と、総勢10数名もの歯周病治療スペシャリストの先生方を中心に、インプラント治療のスペシャリストの先生や義歯治療のスペシャリストの先生など様々な分野の先生が一堂に会しております。
2012年4月27日は私が症例発表の当番でした。
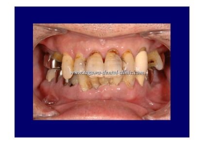
歯周病で歯がボロボロになった患者さんに対して、歯槽骨再生治療を含めた高度な歯周病治療で対応した歯周病治療でしたが、その際の診断、治療法、治療予後の経過をお見せし、それぞれの過程で問題が無かったかをメンバーの先生方全員に検証していただき、ご意見を頂戴しました。

インプラント治療が中心の先生であれば、全部の歯を抜いて多数のインプラントを用いて治療するであろうほどボロボロになってしまっていた症例です。

それでも私たち歯周病専門医は、患者さんの健康な歯を取り戻すことを主体に、様々な治療手技を駆使して歯を残す治療を進めていくように努力しています。
それには、当然ながら様々な知識が求められます。ですからこの会では隔週で、論文抄読会を行い参加者全員で知識を共有しているのです。

今回は、食事の際の痛みが強い歯や咬むとぐらつく歯が多く、結局は11本の歯を失ってしまいましたが、2本のインプラントを効率よく使っただけで、しっかりと咬めるようになりました。
治療内容はもちろんの事、治療期間から治療費用に至るまですべて患者さんとご相談した上で、ご要望にお応えできるように工夫を重ねた治療でしたから、残りの歯の回復はもちろんの事、治療費用の面でも患者さんに非常に満足していただけました。

また治療後に起きるであろう問題点も予測分析しその際の対応までもを、あらかじめ患者さんにご提示することで、治療後の補償も万全になるよう努めております。

歯周病治療、歯周再生治療、インプラント治療、咬み合わせ治療の全てにおいて高度な治療技術と科学的な根拠を駆使して治療することが出来た症例でした。
12年もの間、毎週このカンファレンスに参加させていただき、世界レベルの歯周病治療スペシャリストの先生方から様々な歯周病治療を教えていただいた結果の治療です。
いかがでしょう?
皆さんは歯を抜いて治療するインプラント治療が、お望みですか?
それとも極力ご自身の歯を守る歯周病治療が、お望みですか?
目黒区、世田谷区、大田区、東横線、大井町線、田園都市線沿線にお住まいの方で歯周病治療にお悩みの方は、自由が丘駅から徒歩3分で通いやすい歯周病専門医まで、お気軽にご相談ください。
"関連するブログ記事"
年別アーカイブ
カテゴリー一覧