インプラントはどれくらいで噛めるようになる?治療の流れと安全性について
「インプラントを入れたらすぐ噛めるの?」とよく質問を受けます。ここでは <即時埋入><早期埋入><従来法(遅延埋入)>の違い、科学的な検証結果、当院の方針を わかりやすくまとめました。安全性を最優先にした説明ですので、治療を検討中の方はご一読ください。
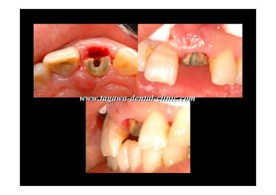
インプラント治療の基本的な流れ
インプラント治療は大きく分けて「〈1〉抜歯(必要なら)→〈2〉埋入手術(インプラント体を骨に入れる)→〈3〉定着期間(骨とインプラントが結合するのを待つ)→〈4〉上部構造(歯)の作製・装着」という流れになります。 どの段階で噛めるようになるかは「埋入のタイミング」と「荷重(咬合)をかける時期」によって変わります。
「いつ噛める?」-- 即時・早期・従来の違い
- 即時埋入・即時荷重:抜歯と同時にインプラントを埋め、短期間で噛ませる方法。患者様の希望が強く、短縮メリットがありますが、条件が非常に限られます。
- 早期埋入・早期荷重:抜歯後に数週間待ち、歯肉の治癒が進んだ段階で埋入する手法。当院ではこの「早期埋入」を標準的に採用しています。
- 従来法(遅延埋入):抜歯後に数か月待って骨が安定してから埋入する、最も保守的な方法です。
「即時」「早期」「従来」それぞれにメリット・デメリットがあり、患者さんの骨量・感染リスク・審美要求・咬合状態などで選択します。
エビデンス(研究の要点) -- メタアナリシスの結論
2013年に実施されたメタアナリシス(Effect of the timing of restoration on implant marginal bone loss)は、インプラント修復(歯を作る)タイミングが周囲骨吸収に与える影響を検討しました。 元データは1,640本の候補から、厳格な基準で最終的に11本が解析に残りました。
解析された比較グループ(概要)
- 抜歯後に骨が回復した状態で埋入 → 即時荷重 vs 従来荷重(6報)
- 抜歯後に骨が回復した状態で埋入 → 即時荷重 vs 早期荷重(2報)
- 抜歯後に骨が回復した状態で埋入 → 早期荷重 vs 従来荷重(1報)
- 抜歯と同時に埋入 → 即時荷重 vs 従来荷重(2報)
結果はグループ間で大きな差はなく、わずかな骨吸収差(例:0.09mm)が報告されたケースはあったものの、臨床的に統一して「○○が優れている」と結論できる十分な根拠は得られませんでした。また、解析に使われた論文の多くに出版バイアスの疑いがあることも指摘されています。
ポイント:このメタアナリシスは「骨吸収の差」については明確な有利不利を示せなかったが、安全性・審美・感染リスクなど他の評価指標も重要であり、それらを総合して方針を決める必要があります。
なぜ当院は抜歯即時埋入を行わないのか
抜歯即時埋入(抜歯と同時にインプラントを入れる)は条件が揃えば有効ですが、下記の理由で当院では原則的に採用していません。
- 歯肉(軟組織)のマネージメントが難しく、審美的不良になるリスクが高い
- 感染源が残っている場合、術後の感染・周囲炎が生じやすい
- 術者側の技術・材料・設備に依存する度合いが高く、再現性が低い
研究論文の中でも抜歯即時は選択される症例が少なく、長期安定の確保には慎重さが必要であることが示唆されています。したがって安全第一の観点から、当院は「早期埋入」を標準プロトコルとしています。
田川歯科の方針:早期埋入プロトコル(当院の実際)
当院の流れ(代表例)は下記の通りです。患者さまの全身状態や口腔内状態によって調整します。
- 抜歯(必要時)→歯肉上皮の完成を待つ(約4週間)
- 早期埋入:骨・軟組織の状態を確認して埋入(1回法または2回法判断)
- 固定が良好ならば2か月程度で一次結合の確認 → 上部構造作製へ
- 術後は定期メインテナンス(歯科的クリーニング+プロービング)を実施
このプロトコルは「安全に、かつ審美的な結果を目指す」ために当院で採用している実践的な方法です。患者さんごとに最適な期間や術式は異なりますので、詳細は診察でご説明します。
臨床的な目安:一般的な治療期間
インプラントと骨の結合(オッセオインテグレーション)の標準的な目安は下顎で約3か月、上顎で約4か月とされます(※インプラントシステムや骨質により差があります)。当院では多くの標準症例でおおむね治療開始から最終補綴まで約3か月前後を目安にしていますが、ケースによってはこれより長くなることがあります。
注意:早く噛めることを優先すると審美や長期安定が損なわれる場合があります。治療の目的は「短期で噛めること」ではなく「長期に安定して噛めること」です。
よくある質問(FAQ)
- Q. インプラントは本当に一生持ちますか?
- A. インプラントは良好な管理下で長期予後が期待できますが、生体への影響や生活習慣、メンテナンス状態により寿命は変動します。保証や断言はできないため、定期的なチェックが重要です。
- Q. 早期埋入でも痛みは少ないですか?
- A. 痛みには個人差があります。術後の疼痛管理は行いますが、術式や骨形態によって術後の腫れや痛みは変わります。
- Q. 抜歯即時埋入は一切できないのですか?
- A. 条件が非常に良好な場合は適用することがありますが、当院では慎重に適応を判断します。無理に即時埋入を選ぶことはありません。
相談・受診のご案内
安全で長持ちするインプラント治療を希望される方、あるいはインプラント周囲炎でお悩みの方はお気軽にご相談ください。初診で精密検査(レントゲン、口腔内診査)を行い、あなたに最適な治療の選択肢をご提案します。
田川歯科医院(自由が丘)
自由が丘駅 徒歩3分|歯周病専門医による診療
※個別の治療計画は診察のうえ作成します。ここでの情報は一般的な解説です。



