自由が丘の歯医者ブログ
BLOG
咬合力と歯周病の関係について|歯ぎしり・かみ合わせと歯周病リスク2013.08.20
歯周病の直接的な原因は細菌ですが、進行を助長する要因には複数あり、その一つに 咬合力(かみ合わせによる力)が関与すると報告されています。
特に、歯周病をお持ちの患者さんは、睡眠中の歯ぎしりや食いしばりによって過大な咬合力が長期間加わることで、 歯周組織に負担が生じる可能性が指摘されています。
咬合力が強い方の治療では、情報分析が重要
咬みしめや歯ぎしりは、歯科医師側だけで完全にコントロールすることが難しいため、 治療前後に得られる患者さんの情報を丁寧に分析し、長期的な予後を考慮した治療計画を立案することが重要です。
勉強会での症例紹介
歯周病の進行と咬合力の影響について、院内勉強会にて私の症例の紹介を行いました。 症例では治療方法の優劣を示すものではなく、咬合と歯周状態の関連を検討した内容として紹介しています。
毎週金曜日には、American Board of PeriodontologyのMemberである 西堀雅一先生が主宰される勉強会に参加しています。 Interdisciplinary Study Club Tokyo(西堀歯科勉強会)

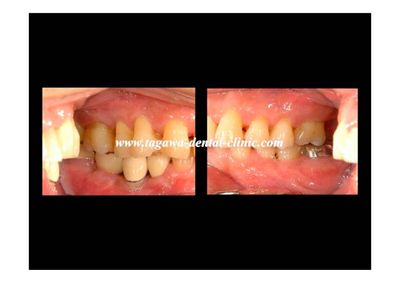
症例の概要
患者さん:60歳男性
重度の歯周病に加えて、上顎が下顎を覆うように咬合する Angle分類でクラス?の咬合関係でした。
クラス?症例は前歯誘導(かみ合わせの誘導)が得にくいことがあり、 治療計画の立案には慎重な分析が必要です。

治療計画の考え方
- 過大な咬合力をどのように分散させるか
- 歯周病に罹患した歯を可能な限り保存する方法
- 長期的なかみ合わせの変化にどう対応するか
これらの検討を行い、論文などで報告されている知見も参考にしながら治療計画を策定しました。

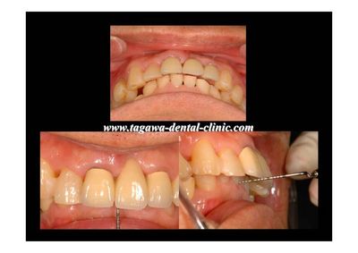
治療の進め方
初期の理想的な治療計画を作成した後、患者さんのご希望を丁寧に伺い、 インプラント治療を含めた複数の選択肢の中から現実的な治療計画に調整していきました。

必要最小限の本数でインプラントを用い、その他は歯周治療を行って可能な限り歯を保存する計画としました。
当院の治療方針について
当院では、米国UCLA補綴学プログラム修了後に歯周病専門医を取得した経験を活かし、個々の患者さんの条件に応じて 長期予後を重視した治療計画をご提案しています。
治療のメリット・デメリットを明確に説明し、患者さんのご要望を伺いながら最適な治療方法を一緒に検討いたします。
ご相談はこちら
目黒区・世田谷区・大田区、東横線・大井町線・田園都市線沿線にお住まいで 歯周病治療にお困りの方は、自由が丘駅徒歩3分の歯周病専門医である当院へお気軽にご相談ください。



