ダイレクトボンディング法による奥歯の治療(Case 2)
前回のブログでご紹介したダイレクトボンディング法は、耐久性・機能性ともに良好な結果が得られる治療法です。 しかし、歯と歯の間(隣接面)に虫歯がある場合は、適用範囲に制限があります。
具体的には、隣の歯に大きく被さる銀歯が装着されているケースの再治療では、 ダイレクトボンディング法を適用できない場合があります。 そのようなケースでは、当院ではセラミックインレー(All Porcelain Inlay)や PFM(メタルボンド)など、強度と適合性に優れた治療法をご提案しています。

どれくらいの虫歯ならダイレクトボンディングができる?
隣接面の虫歯は、形態的に複雑で適応判断が難しいため、 実際にダイレクトボンディング法で治療した3つの症例をご紹介します。

矯正治療中に発見された虫歯をダイレクトボンディング法で治療した症例

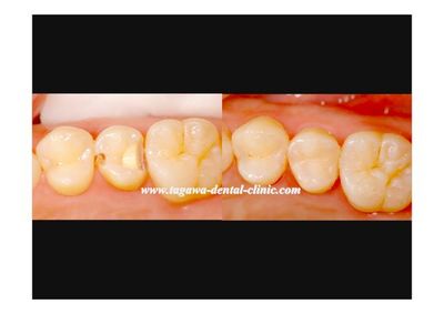
両隣接面にあった虫歯をダイレクトボンディング法で治療した症例

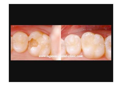
大臼歯の隣接面に広がった虫歯をダイレクトボンディング法で治療した症例
隣接面治療で特に考慮した点
- 治療範囲に過度な咬合力(噛み合わせの力)が集中していないこと
- コンタクトポイント(隣の歯との接触点)がわずかでも維持できること
- ラバーダム装着による防湿が確実に行える症例であること
まとめ:白い修復は自然で健康的に見える選択肢
ダイレクトボンディング法は、治療範囲が広くなるほど、 銀歯よりも自然な見た目と健康的な印象を与えることができます。
現時点では保険適用外(自費診療4万5千円税別〜6万5千円税別)となりますが、 耐用性・機能性ともに良好な結果が得られており、 適応条件を満たす場合には有効な治療法です。
自由が丘周辺で奥歯の白い詰め物治療や ダイレクトボンディングの適応について相談したい方は、御相談されてください。診断後に治療内容・費用を丁寧にご説明いたします。



