歯科治療の一つにコンポジットレジン修復があります。小さな虫歯の治療で広く用いられてきた方法ですが、 近年は材料の進化により、奥歯の咬み合わせ部分や審美治療への応用も可能になっています。
以前は接着力・耐摩耗性・変色などの課題がありましたが、最新のレジン材料や接着技術により、 適応条件を満たせば奥歯でも安定した強度と自然な見た目を両立できるようになりました。
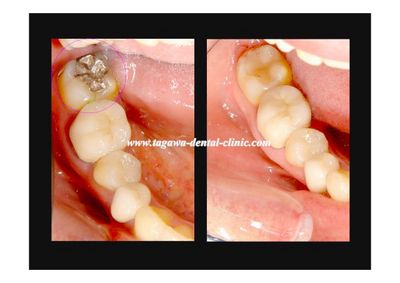
6年前に行ったコンポジットレジン修復(ダイレクトボンディング)症例
以下は、当院で6年前に行った治療症例です。銀歯が多いことを気にされていた患者さんで、審美性と耐久性の両立を希望されていました。

前歯の矯正治療も行っていたため、総予算のバランスを考慮しつつ、 奥歯の治療にはできる限り費用を抑えた選択肢を検討しました。
そこで、東京医科歯科大学・高橋登先生から紹介いただいた サイブロン社の「プレミス」と強固な接着剤を組み合わせたダイレクトボンディング法 を初症例として適用し、患者さんの同意のもと治療を行いました。


6年経過後の状態と耐久性
術後6年以上経過した現在、詰め物の周囲にわずかな変色や摩耗は見られるものの、 機能的な問題はなく十分に使用できている状態です。
臨床的な印象としては、割れることが多いハイブリッドレジンインレーよりも、 適応症例においてはダイレクトボンディングの方が耐久性に優れていることが多いと感じています。
治療のデメリットについて
唯一の難点は、ラバーダム(防湿シート)を装着し、歯に直接レジンを積層して形成するため、 1本あたり約40分ほど時間がかかる点です。

まとめ:自然で健康的な見た目の白い奥歯へ
銀歯と比べて、白いレジン修復は口元が自然に見え、審美面でも優れています。 現在は保険適用外の自費診療となりますが、耐用性や機能面でも良好な結果が得られており、 条件が合う患者さんには有効な選択肢です。
自由が丘・奥歯のレジン修復やダイレクトボンディングについて相談されたい方は、 医療広告ガイドラインに則り、治療内容や費用は診断後に説明いたしますので、当院へお気軽にお問い合わせください。



