こんばんは。自由が丘の田川歯科です。
「銀歯が取れた」という理由で来院される患者さんはとても多くいらっしゃいます。
当院では、取れた銀歯を歯に適合させて問題がない場合には、消毒のうえ再装着する方針をとっていますので、銀歯は破棄せず大切に保管してください。
中には、ご自身で紛失してしまったり、ご家族が誤って捨ててしまうケースもあります。外れた銀歯は取り扱いには十分ご注意ください。
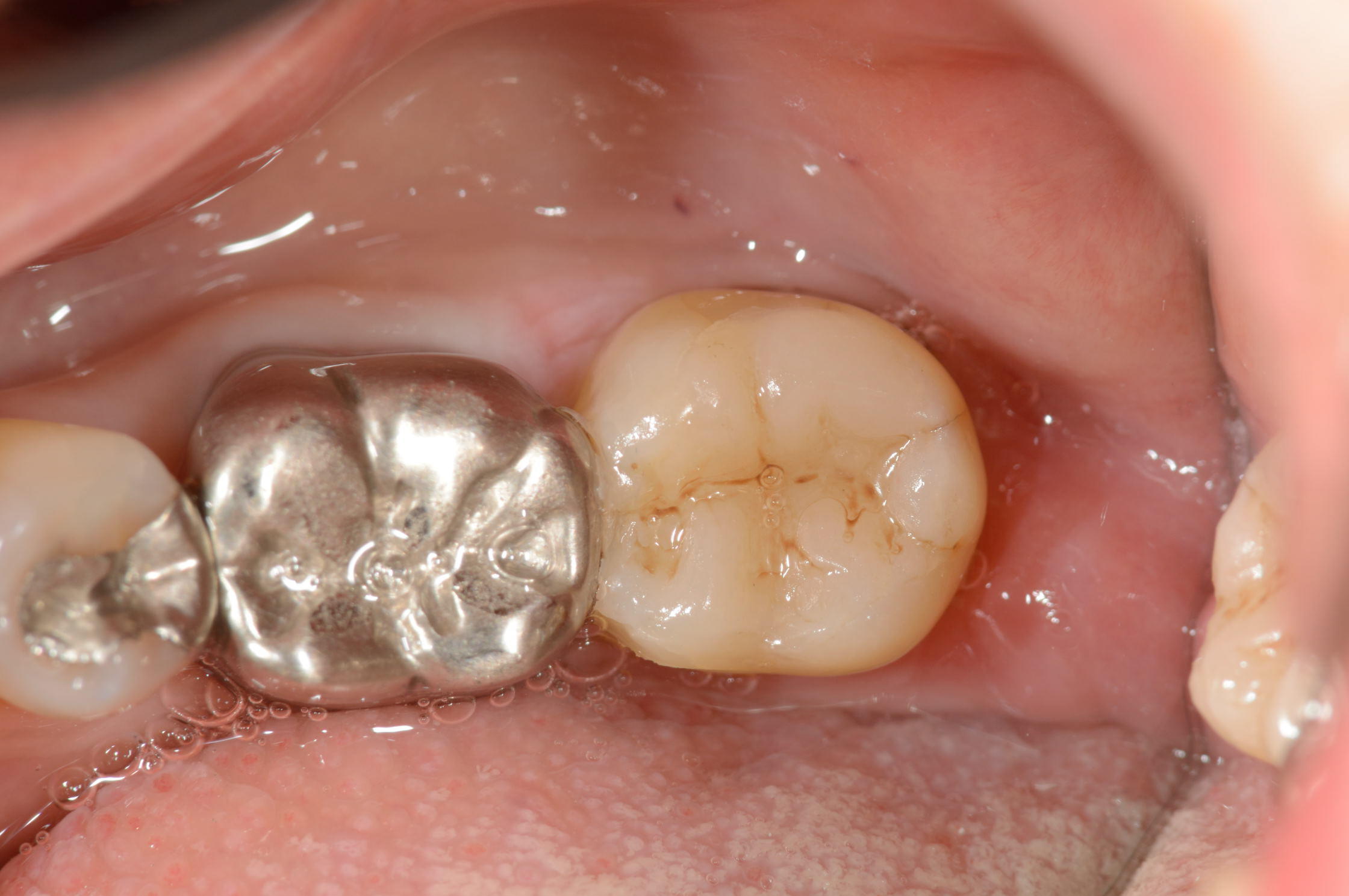
本日の患者さんは、右下奥歯の銀歯が取れたとのことで来院されました。

この銀歯は、実は3年前にも一度外れて再装着したものでした。今回はこれを機に白い詰め物へ変更したいとのご希望から、ダイレクトボンディング法による修復治療を行うことになりました。

治療回数:1回
治療時間:50分
治療費:60,000円(消費税別)
自由が丘・田川歯科では、保険治療・自費治療を問わず、マイクロスコープ(歯科用顕微鏡)を活用した精密治療を行っています。歯をできるだけ削らず、かつ再発リスクを抑えた治療を大切にしています。
目黒区・世田谷区・大田区、東横線・大井町線・田園都市線沿線にお住まいの方で、マイクロスコープ歯科治療や銀歯のトラブルでお悩みの方は、自由が丘駅から徒歩3分の当院までお気軽にご相談ください。
関連するブログ記事



